Absceso del psoas en pediatría: reporte de caso
Psoas abscess in pediatrics: Case report
DOI:
https://doi.org/10.15446/revfacmed.v64n1.49483Palabras clave:
Absceso del psoas, Piomiositis, Niño. (es)Psoas abscess, Pyomyositis, Child (en)
El absceso del músculo psoas es una piomiositis infrecuente en la población pediátrica, convirtiéndose en un gran reto diagnóstico. Esta condición debe sospecharse en todo niño con fiebre, malestar general o dolor abdominal, lumbar o de cadera con evolución mayor a una semana. Suele confundirse con artritis séptica u otras enfermedades osteomusculares, por lo que se requiere de la realización de imágenes diagnósticas; el desconocimiento de esta patología retrasa el inicio del tratamiento y genera gran morbimortalidad.
Se presenta un caso atendido en un centro hospitalario pediátrico de tercer nivel de Bogotá, D.C. y se hace una revisión de la literatura enfatizando sus claves diagnósticas y el manejo terapéutico.
Psoas Abscess is a pyomyositis rarely present, which in turn makes its diagnosis a real challenge. This condition must be a differential diagnosis in children presenting fever, general malaise, lumbalgia, abdominal or hip pain for more than a week. It is frequently confused with septic arthritis or other musculoskeletal diseases, which is why radiographic studies or ultrasonography are necessary. Unawareness of this pathology delays its treatment, thus producing high levels of morbidity and mortality.
A clinical case treated in a pediatric hospital from Bogotá, Colombia, is presented, as well as a literature review emphasizing in Psoas Abscess key issues and treatment.
REPORTE DE CASO
DOI: https://doi.org/10.15446/revfacmed.v64n1.49483
Absceso del psoas en pediatría: reporte de caso
Psoas abscess in pediatrics: Case report
Yefry A. Aragón-Joya1 • Alexandra Bastidas-Jacanamijoy1 • Pedro A. Cáceres-Solano1 • Carlos Javier Lozano-Triana1 • Guillermo Landinez-Millán1
Recibido: 04/03/2015 Aceptado: 12/05/2015
1 Universidad Nacional de Colombia – Sede Bogotá - Facultad de Medicina - Departamento de Pediatría – Bogotá, D.C. - Colombia.
Correspondencia: Yefry A. Aragón-Joya. Avenida Caracas No. 1 - 13, Departamento de Pediatría, cuarto piso. Teléfono: +57 1- 3373824. Bogotá, D.C. Colombia. Correo electrónico: yaaragonj@unal.edu.co.
| Resumen |
El absceso del músculo psoas es una piomiositis infrecuente en la población pediátrica, convirtiéndose en un gran reto diagnóstico. Esta condición debe sospecharse en todo niño con fiebre, malestar general o dolor abdominal, lumbar o de cadera con evolución mayor a una semana. Suele confundirse con artritis séptica u otras enfermedades osteomusculares, por lo que se requiere de la realización de imágenes diagnósticas; el desconocimiento de esta patología retrasa el inicio del tratamiento y genera gran morbimortalidad.
Se presenta un caso atendido en un centro hospitalario pediátrico de tercer nivel de Bogotá, D.C. y se hace una revisión de la literatura enfatizando sus claves diagnósticas y el manejo terapéutico.
Palabras clave: Absceso del psoas; Piomiositis; Niño (DeCS).
Aragón-Joya YA, Bastidas-Jacanamijoy A, Cáceres-Solano PA, Lozano-Triana CJ, Landinez-Millán G. Absceso del psoas en pediatría: reporte de caso. Rev. Fac. Med. 2016;64(1):151-4. Spanish. doi: https://doi.org/10.15446/revfacmed.v64n1.49483.
Summary
Psoas Abscess is a pyomyositis rarely present, which in turn makes its diagnosis a real challenge. This condition must be a differential diagnosis in children presenting fever, general malaise, lumbalgia, abdominal or hip pain for more than a week. It is frequently confused with septic arthritis or other musculoskeletal diseases, which is why radiographic studies or ultrasonography are necessary. Unawareness of this pathology delays its treatment, thus producing high levels of morbidity and mortality.
A clinical case treated in a pediatric hospital from Bogotá, Colombia, is presented, as well as a literature review emphasizing in Psoas Abscess key issues and treatment.
Keywords: Psoas abscess; Pyomyositis; Child (MeSH).
Aragón-Joya YA, Bastidas-Jacanamijoy A, Cáceres-Solano PA, Lozano-Triana CJ, Landinez-Millán G. [Psoas abscess in pediatrics: Case report]. Rev. Fac. Med. 2016;64(1):151-4. Spanish. doi: https://doi.org/10.15446/revfacmed.v64n1.49483.
Introducción
El músculo psoas se origina en la región lateral de la doceava costilla, en los bordes laterales de la vértebra T12 y en los cuerpos vertebrales lumbares; se inserta en el trocánter menor del fémur del mismo lado formando un tendón con el músculo ilíaco y su función es la flexión y rotación lateral del fémur. El músculo ilíaco se origina en la parte anterior del hueso iliaco y forma un tendón con el músculo psoas en su sitio de inserción, por lo cual se han denominado en conjunto músculo psoas ilíaco.
El absceso del músculo psoas es una infección supurativa descrita principalmente en países en vías de desarrollo (1,2); es una entidad infrecuente y de difícil diagnóstico en niños, aspectos que retrasan el tratamiento oportuno e incrementan la morbimortalidad. En el presente trabajo se presenta un caso de absceso del psoas en una niña atendida en la Fundación Hospital de la Misericordia de Bogotá (Fundación HOMI), se hace una revisión de la literatura para mostrar el estado del arte de esta patología y se formulan recomendaciones respecto a su abordaje.
Presentación del caso
Paciente de género femenino de 11 años de edad sin antecedentes patológicos relevantes, en adecuado estado nutricional y residente en área urbana, con cuadro de un mes de dolor en muslo derecho y región lumbar ipsilateral después de sufrir traumatismo leve en cadera. Durante las primeras dos semanas del cuadro recibe manejo sintomático por consulta externa con antiinflamatorios orales en tres ocasiones sin mejoría.
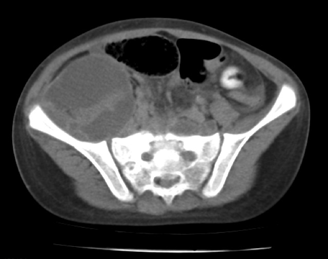
A partir de la tercera semana, la paciente presenta fiebre, malestar general y aumento en la intensidad del dolor propagándose a fosa iliaca derecha; consulta al hospital de su localidad donde deciden internarla; le realizan un hemograma que muestra leucocitosis con neutrofilia y una ecografía abdominal que evidencia una lesión heterogénea, hipoecoica, con septos en su interior y bordes irregulares en músculo psoas derecho. Se hace tomografía computarizada (TC) de abdomen mostrando contenido hipodenso retroperitoneal en psoas derecho con extensión hacia fosa iliaca derecha y región pélvica, se plantea posible absceso o tumor retroperitoneal (Figura 1).
Figura 1. TC: absceso del psoas derecho. Fuente: Documento obtenido durante la realización del estudio.
Se inicia manejo con oxacilina, clindamicina y gentamicina; se realiza lumbotomía encontrando absceso en músculo psoas derecho con drenaje de 200ml de material purulento y destrucción muscular asociada; finalmente, se considera descartar rabdomiosarcoma.
Posteriormente la paciente presenta dificultad respiratoria e inestabilidad hemodinámica, por lo que se considera choque séptico de origen abdominal y se cambia antibiótico a vancomicina por reporte de tinción de Gram de la secreción drenada previamente que mostraba cocos Gram positivos. Se inicia oxígenoterapia a alto flujo sin intubación orotraqueal más soporte inotrópico y se remite a la Fundación HOMI en Bogotá, D.C.
Al ingreso a la fundación, la paciente se encuentra en regulares condiciones generales pero sin deterioro neurológico. En el examen físico se encuentra herida quirúrgica de lumbotomía derecha con secreción purulenta abundante, dolor a la palpación en flanco derecho y miembro inferior derecho en flexión por postura antiálgica asociado a edema.
Los paraclínicos muestran gases arteriales con trastorno moderado de la oxigenación y acidosis metabólica, hemograma con leucocitosis de 22020cel/mL, neutrofilia de 19700cel/mL, sin anemia y con recuento plaquetario normal, procalcitonina y proteína C reactiva elevadas, creatinina incrementada, hiperbilirrubinemia con patrón colestásico, hipoalbuminemia, hiponatremia e hipocalcemia leves. Se evidencia radiografía de tórax con derrame pleural bilateral y ecocardiograma con derrame pericárdico más pericarditis.
Se define que la paciente cursa con shock séptico de origen muscular secundario a absceso del psoas, cuyo deterioro clínico probablemente sea por infección polimicrobiana y persistencia del absceso, por lo que se adiciona piperacilina-tazobactam y se lleva a nueva lumbotomía con drenaje de colección purulenta retroperitoneal dejando dren de Penrose.
En reporte de tinción de Gram del nuevo material purulento se encuentran cocos Gram positivos. El cultivo de la secreción muestra Staphylococcus aureus meticilino sensible con hemocultivos seriados negativos, por lo que se pasa tratamiento nuevamente a oxacilina cuando se estabiliza hemodinámicamente a la paciente.
La paciente presenta evolución clínica satisfactoria con resolución del choque séptico. En ecografía abdominal de control hay disminución significativa de la colección, se retira dren y se completan 21 días de antibiótico de forma intrahospitalaria sin complicaciones. Siete meses después es valorada en consulta externa encontrándose asintomática, en buenas condiciones generales, sin hallazgos anormales al examen físico ni en los exámenes de control.
Discusión
El absceso del psoas es una entidad rara en niños, no hay claridad sobre su prevalencia e incidencia; sin embargo, algunos estudios basados en series de casos han propuesto una incidencia estimada entre 2.5 y 12 casos por año en servicios de urgencias en la población general (3,4). La mayor serie de casos en Colombia, con 115 pacientes, ha sido reportada por el grupo de ortopedia de Gerstner en el Hospital Universitario del Valle —con una mayor frecuencia en pacientes menores de 20 años— (5).
Este tipo de absceso se ha clasificado como de origen primario cuando el foco de infección se localiza en áreas distantes a la región retroperitoneal diseminándose por vía hemato-linfática y de origen secundario cuando hay focos infecciosos contiguos al músculo generalmente renal, gastrointestinal y osteoarticular. Se ha descrito que en niños es más frecuente la presencia de abscesos de origen primario que secundario (5,6).
Dentro de los factores de riesgo para su desarrollo se describen traumatismos previos, antecedente reciente de procesos infecciosos, anemia, desnutrición, abuso de drogas por vía parenteral, usuarios de hemodiálisis, enfermedades crónicas de base, así como inmunodeficiencias primarias o secundarias (2).
Dentro de los agentes etiológicos descritos se reporta en primer lugar al Staphylococcus aureus, seguido de Escherichia coli, Streptococcus pyogenes, Streptococcus pneumoniae, Salmonella sp., Bartonella sp., Neisseria gonorrheae, Mycobacterium tuberculosis, hongos y parásitos (1). La paciente de este caso presentó un aislamiento microbiológico típico según la literatura.
En décadas anteriores el absceso del psoas por Mycobacterium tuberculosis era muy frecuente; sin embargo, con las mejoras en salud pública ha disminuido la incidencia de casos de tuberculosis extrapulmonar sin desaparecer totalmente aun en el siglo XXI (7), teniendo en cuenta el resurgimiento de la tuberculosis por la pandemia de VIH-SIDA en el mundo.
La historia natural de esta patología presenta tres fases; una invasiva entre la primera y segunda semana después de iniciar la infección, caracterizada por síntomas inespecíficos; una supurativa entre las semanas tercera y cuarta, donde hay síntomas constitucionales, y una fase final de sepsis, donde se presentan las principales complicaciones (1).
La mortalidad se ha estimado entre 2.8 y 20% con predominio en los casos de origen secundario, siendo el inicio tardío o inadecuado de la terapia la principal causa de mortalidad (8). Las complicaciones que derivan en la muerte de los pacientes incluyen sepsis, trombosis venosa profunda y tromboembolismo pulmonar (2). La paciente que se presenta tuvo una clínica insidiosa que hizo difícil su diagnóstico y manejo temprano, lo que derivó en múltiples complicaciones.
En adultos se ha descrito una triada clásica de fiebre, dolor abdominal o lumbar más limitación al movimiento de la cadera con signo del psoas positivo, que se describe como presencia de dolor a la extensión de la cadera y disminución o ausencia del dolor con la flexión (2,5) —se recalca que estas características clínicas fueron presentadas por la paciente—; sin embargo, se debe recordar que en niños se hace difícil la confirmación del signo del psoas en muchos casos.
La presentación clínica se acompaña de dificultad para la marcha, cojera, masa palpable en el abdomen, escoliosis antiálgica y no siempre hay irritación peritoneal ya que la localización del músculo es retroperitoneal. El dolor puede tener localización no solo a nivel lumbar o en la fosa iliaca, sino también inguinal y en el muslo por irritación de los nervios genitofemoral y cutáneo lateral del fémur, como en el caso expuesto.
En cuanto a las ayudas diagnósticas, el hemograma puede mostrar leucocitosis y trombocitosis acompañado muchas veces de anemia, elevación de la proteína C reactiva y prolongación en la velocidad de sedimentación globular. Siempre se deben tomar hemocultivos y cultivos del absceso para orientar el diagnóstico microbiológico y la terapia antibiótica. Los estudios radiológicos son claves para la confirmación diagnóstica: las radiografías de columna lumbar y abdomen tienen una sensibilidad de 33%, la ecografía abdomino-pélvica de 57% y la TC de abdomen una sensibilidad de 100% con especificidad de 77% (2,9).
La ecografía puede ser el examen inicial por costo-beneficio y por radioprotección frente a la tomografía, no solo para el diagnóstico sino también para el seguimiento y ante la necesidad de drenajes percutáneos; sin embargo, la TC es la imagen de elección pues permite diferenciar de mejor forma tejidos blandos de hueso, no es operador dependiente y se utiliza ante dudas diagnósticas posteriores al uso de ecografía, aunque al igual que la ultrasonografía, su rendimiento diagnóstico va a depender del momento en que consulte el paciente (6,8). También se cuenta con la posibilidad de realizar resonancia magnética nuclear abdominal y de columna con contraste y estudios de medicina nuclear con galio 67 ante la sospecha de compromiso osteoarticular; no se ha demostrado que la resonancia magnética sea superior a la TC (6).
Los diagnósticos diferenciales incluyen artritis séptica —con la que se confunde frecuentemente (10)—, plastrón apendicular, mal de Pott, pielonefritis aguda, sacroileitis y hematomas abdominales. Es frecuente que a partir del examen físico se haga difícil diferenciar entre estas patologías, razón por la que se recomienda siempre realizar ecografía abdomino-pélvica como aproximación diagnóstica inicial (11).
El tratamiento incluye manejo antibiótico y, según el tiempo de evolución, la presentación y el estado clínico del paciente, se recurre a manejo conservador con drenaje de la colección por vía percutánea con guía ecográfica, por TC (5,12) o drenaje quirúrgico generalmente con lumbotomía del lado afectado (2,5).
El manejo antibiótico empírico que se inicie ante la sospecha diagnóstica debe incluir fármacos que cubran la mayor cantidad de gérmenes involucrados en esta entidad; al considerarse la posibilidad de una infección polimicrobiana se recomienda usar esquemas empíricos con oxacilina más una cefalosporina de tercera generación, clindamicina más metronidazol, oxacilina más un aminoglucósido o clindamicina más un aminoglucósido (2,5). La selección de los antibióticos va a depender de la epidemiología local de los microorganismos y de los factores de riesgo del paciente.
Si se sospecha S. aureus meticilino-resistente se debe iniciar manejo con vancomicina o clindamicina (1); sin embargo, lo ideal es tener aislamientos microbiológicos para dirigir la terapia según la evolución del paciente y el perfil de resistencia bacteriana como en el caso descrito. La paciente, por el curso clínico y las complicaciones que tuvo, requirió múltiples esquemas antibióticos y varias intervenciones quirúrgicas.
Conclusiones
El absceso del psoas es una patología infecciosa poco común en niños, siendo una condición clínica de difícil diagnóstico por el desconocimiento de su presentación, lo que genera un gran reto en su abordaje; sin embargo, al tener un paciente con fiebre, síntomas inespecíficos y constitucionales asociados a dolor abdominal, lumbar o en cadera de curso insidioso y de evolución superior a una semana, se debe considerar esta patología dentro de los diagnósticos diferenciales para iniciar tempranamente tratamiento antibiótico y drenaje, disminuyendo así la mortalidad y otras complicaciones asociadas. El manejo del paciente con esta entidad debe ser multidisciplinario incluyendo médicos generales, pediatras, médicos familiares, infectólogos pediátricos, cirujanos pediátricos, ortopedistas y radiólogos.
Conflicto de intereses
Ninguno declarado por los autores
Financiación
Ninguna declarada por los autores
Agradecimientos
Al doctor Germán Camacho Moreno, médico pediatra infectólogo y profesor auxiliar de la Facultad de Medicina de la Universidad Nacional de Colombia por sus aportes, y a la Fundación Hospital de la Misericordia.
Referencias
1. Pérez-Yepes CA, Rodríguez-Peña Y, Moreno-Espinosa S, Avilés-Robles MJ. Absceso de músculo iliopsoas y piomiositis extensa en un adolescente inmunocompetente. Rev. Enfer. Infec. Pediatr. 2013;26(103):270-3.
2. Medina JF, Vivas VH. Absceso del psoas: revisión de la literatura y estado actual. Rev. Colomb. Cir. 2004;19(3):181-9.
3. Yin HP, Tsai YA, Liao SF, Lin PH, Chuang TY. The challenge of diagnosis psoas abscess. J. Chin. Med. Assoc. 2004;67(3): 156-9.
4. Mormino MA, Esposito PW, Raynos SC. Peripelvic abscess: a diagnostic dilemma. J. Pediatr. Orthop. 1999;19(2):161-3. http://doi.org/dtxnh5.
5. Lores CA, Gerstner J. Absceso piógeno del psoas: descripción de casos registrados en el Hospital Universitario del Valle. Rev. Col. de Or. Tra. 2006;20(2):70-80.
6. Gómez O, Arroyo A, Kaplan J, Dardanelli E, Goldberg A, Moguillasnsky S. Absceso de psoas en pediatría: cuadro clínico, diagnóstico por imágenes y tratamiento. Rev. Argent. Radiol. 2004;68:89-93.
7. Goyal A, Shah I. Infantile psoas abscess. Ann. Acad. Med. Singapore. 2013;42(8):415-6.
8. Takada T, Terada K, Kajiwara H, Ikusaka M. Imaging-negative psoas abscess. Lancet. 2014;383(9913):280.
http://doi.org/f2pmbg.
9. Dietrich A, Vaccarezza H, Vaccaro CA. Iliopsoas abscess: presentation, management, and outcomes. Surg. Laparosc. Endosc. Percutan. Tech. 2013;23(1):45-8. http://doi.org/bbst.
10. Song KS, Lee SM. Peripelvic infections mimickings septic arthritis of the hip in children: treatment with needle aspiration. J. Pediatr. Orthop. B. 2003;12(5):354-6. http://doi.org/bbwr2f.
11. Jain AK, Aggarwal AN, Letts M, Monson R, Song J. Differentiation of psoas muscle abscess from septic arthritis of the hip in children. Clin. Orthop. Relat. Res. 2003;(411): 346.
12. Tong CW, Griffith JF, Lam TP, Cheng JC. The conservative management of acute pyogenic iliopsoas abscess in children. J. Bone Joint Surg. Br. 1998;80(1):83-5. http://doi.org/bjhx4x.
Referencias
Pérez-Yepes CA, Rodríguez-Peña Y, Moreno-Espinosa S, Avilés-Robles MJ. Absceso de músculo iliopsoas y piomiositis extensa en un adolescente inmunocompetente. Rev. Enfer. Infec. Pediatr. 2013;26(103):270-3.
Medina JF, Vivas VH. Absceso del psoas: revisión de la literatura y estado actual. Rev. Colomb. Cir. 2004;19(3):181-9.
Yin HP, Tsai YA, Liao SF, Lin PH, Chuang TY. The challenge of diagnosis psoas abscess. J. Chin. Med. Assoc. 2004;67(3): 156-9.
Mormino MA, Esposito PW, Raynos SC. Peripelvic abscess: a diagnostic dilemma. J. Pediatr. Orthop. 1999;19(2):161-3. http://doi.org/dtxnh5.
Lores CA, Gerstner J. Absceso piógeno del psoas: descripción de casos registrados en el Hospital Universitario del Valle. Rev. Col. de Or. Tra. 2006;20(2):70-80.
Gómez O, Arroyo A, Kaplan J, Dardanelli E, Goldberg A, Moguillasnsky S. Absceso de psoas en pediatría: cuadro clínico, diagnóstico por imágenes y tratamiento. Rev. Argent. Radiol. 2004;68:89-93.
Goyal A, Shah I. Infantile psoas abscess. Ann. Acad. Med. Singapore. 2013;42(8):415-6.
Takada T, Terada K, Kajiwara H, Ikusaka M. Imaging-negative psoas abscess. Lancet. 2014;383(9913):280. http://doi.org/f2pmbg.
Dietrich A, Vaccarezza H, Vaccaro CA. Iliopsoas abscess: presentation, management, and outcomes. Surg. Laparosc. Endosc. Percutan. Tech. 2013;23(1):45-8. http://doi.org/bbst.
Song KS, Lee SM. Peripelvic infections mimickings septic arthritis of the hip in children: treatment with needle aspiration. J. Pediatr. Orthop. B. 2003;12(5):354-6. http://doi.org/bbwr2f.
Jain AK, Aggarwal AN, Letts M, Monson R, Song J. Differentiation of psoas muscle abscess from septic arthritis of the hip in children. Clin. Orthop. Relat. Res. 2003;(411): 346.
Tong CW, Griffith JF, Lam TP, Cheng JC. The conservative management of acute pyogenic iliopsoas abscess in children. J. Bone Joint Surg. Br. 1998;80(1):83-5. http://doi.org/bjhx4x.
Cómo citar
APA
ACM
ACS
ABNT
Chicago
Harvard
IEEE
MLA
Turabian
Vancouver
Descargar cita
Licencia
Derechos de autor 2016 Revista de la Facultad de Medicina

Esta obra está bajo una licencia Creative Commons Reconocimiento 3.0 Unported.
-








